의학 용어 TTE, TFT, TPA는 각각 경흉부 심초음파검사, 갑상선 기능 검사, 조직 플라스미노겐 활성제를 의미합니다. TTE는 심장의 구조와 기능을 평가하는 비침습적 검사로, 심장 질환의 진단과 추적 관찰에 널리 사용됩니다. TFT는 갑상선에서 분비되는 호르몬 수치를 측정하여 갑상선 기능 상태를 평가하는 혈액 검사입니다. TPA는 혈전 용해 치료에 사용되는 대표적인 약물로, 급성 뇌경색이나 급성 심근경색 등에 적용됩니다.
TTE(경흉부 심초음파검사)

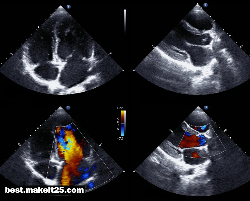
TTE는 “Transthoracic Echocardiography”의 약자로, 한국어로는 “경흉부 심초음파검사”를 의미합니다. 이는 흉벽을 통해 초음파를 보내어 심장의 구조와 기능을 평가하는 비침습적인 영상 검사 방법입니다. TTE는 심장 질환의 진단, 심장 기능의 평가, 심장 수술이나 중재시술 후 추적 관찰 등 다양한 임상 상황에서 널리 활용되며, 심장 초음파 검사의 가장 기본적이고 중요한 방법으로 인정받고 있습니다
TTE의 적응증
- 심장 판막 질환: 승모판, 대동맥판, 삼첨판 등 심장 판막의 구조와 기능을 평가하여 협착이나 역류를 진단합니다.
- 심근 질환: 심근경색, 심근병증, 심장 비대 등 심근의 운동과 기능 이상을 평가합니다.
- 관상동맥 질환: 국소 심근 운동 이상을 통해 관상동맥 질환을 시사하는 소견을 확인할 수 있습니다.
- 심부전: 좌심실 구혈률 측정, 심장 내 혈전 유무 확인 등을 통해 심부전의 원인과 중증도를 평가합니다.
- 심장 기형: 선천성 심장 기형의 구조와 혈역학적 영향을 평가합니다.
TTE의 장점
- 비침습적: 방사선 피폭이나 침습적 조작 없이 안전하게 시행할 수 있습니다.
- 실시간 영상: 심장의 움직임을 실시간으로 관찰할 수 있어 역동적인 평가가 가능합니다.
- 반복 검사 용이: 간편하고 빠르게 시행할 수 있어 추적 관찰에 유용합니다.
- 혈역학적 평가: 도플러 기능을 이용하여 심장 내 혈류를 측정하고 판막 역류 등을 정량화할 수 있습니다.
TTE의 단점 및 한계
- 음향 창 제한: 비만, 폐질환, 흉벽 변형 등으로 인해 영상의 질이 저하될 수 있습니다.
- 관찰자 의존성: 검사자의 숙련도와 해석 능력에 따라 결과가 달라질 수 있습니다.
- 일부 구조 관찰 제한: 심방 중격, 좌심방 귀, 폐정맥 등 일부 구조물은 관찰이 어려울 수 있습니다.
TTE는 심장 질환의 일차적 진단 도구로서 가장 널리 사용되는 검사 방법입니다. 비침습적이고 안전하며 실시간 영상을 제공하는 장점이 있어 선별검사부터 추적 관찰까지 폭넓게 활용됩니다. 그러나 검사 결과의 질이 음향 창이나 검사자의 숙련도에 영향을 받을 수 있어 주의 깊은 해석이 필요하며, 일부 심장 구조물의 관찰에는 한계가 있습니다. 따라서 필요에 따라 다른 영상 검사나 혈역학적 검사와 함께 시행하여 종합적으로 평가하는 것이 바람직합니다.
기타 관련 의학 용어
- 경식도 심초음파 (TEE, Transesophageal Echocardiography): 식도를 통해 초음파 탐촉자를 삽입하여 심장을 관찰하는 방법으로, TTE로 관찰이 어려운 구조물을 더욱 자세히 볼 수 있습니다.
- 부하 심초음파 (Stress Echocardiography): 운동이나 약물로 심장에 부하를 가한 상태에서 심초음파를 시행하여 관상동맥 질환이나 심근 허혈을 진단하는 방법입니다.
- 3D 심초음파 (3D Echocardiography): 3차원 입체 영상을 구현하여 심장 구조를 더욱 입체적으로 관찰할 수 있는 심초음파 기법입니다.
TFT(갑상선 기능 검사)

TFT는 “Thyroid Function Test”의 약자로, 한국어로는 “갑상선 기능 검사”를 의미합니다. 이는 갑상선에서 분비되는 호르몬의 수치를 측정하여 갑상선의 기능 상태를 평가하는 혈액 검사입니다. TFT는 갑상선 질환의 진단, 치료 효과 모니터링, 약물 용량 조절 등에 널리 활용되며, 갑상선 기능 이상이 의심되는 다양한 임상 상황에서 기본적으로 시행되는 검사입니다.
TFT의 구성
- TSH (Thyroid Stimulating Hormone, 갑상선 자극 호르몬): 뇌하수체에서 분비되어 갑상선을 자극하는 호르몬으로, 갑상선 기능을 가장 민감하게 반영합니다.
- Free T4 (유리 티록신): 갑상선에서 분비되어 체내에서 활성을 나타내는 주요 호르몬입니다.
- Free T3 (유리 트리요오드티로닌): T4보다 생물학적 활성이 더 강한 갑상선 호르몬입니다.
- Total T4, Total T3: 혈중 전체 T4, T3 농도를 측정하며, Free T4, Free T3와 함께 평가합니다.
- Anti-TPO (항갑상선 과산화효소 항체), Anti-Tg (항티로글로불린 항체): 자가면역성 갑상선 질환의 진단에 도움이 되는 자가항체입니다.
TFT의 적응증
- 갑상선 기능 이상 증상: 피로, 체중 변화, 열불내성, 심계항진 등 갑상선 기능 이상을 시사하는 증상이 있을 때 시행합니다.
- 갑상선 비대 또는 결절: 갑상선 비대나 결절이 발견되었을 때 기능 상태를 평가하기 위해 시행합니다.
- 갑상선 질환의 치료 모니터링: 갑상선 질환으로 진단되어 치료 중인 경우, 치료 효과와 약물 용량 조절을 위해 주기적으로 시행합니다.
- 임신과 갑상선 기능: 임신 중 갑상선 기능 이상은 태아에게 영향을 줄 수 있어, 임신 초기에 선별 검사로 시행합니다.
- 신생아 선별 검사: 선천성 갑상선 기능 저하증의 조기 진단을 위해 신생아에서 선별 검사로 시행합니다.
TFT 결과의 해석
- 정상 범위: TSH 0.4-4.0 mIU/L, Free T4 0.8-1.9 ng/dL, Free T3 2.0-4.4 pg/mL (검사실마다 차이가 있을 수 있음)
- 원발성 갑상선 기능 저하증: TSH 상승, Free T4 감소
- 원발성 갑상선 기능 항진증: TSH 감소, Free T4 상승
- 이차성 갑상선 기능 저하증 (중추성): TSH 정상 또는 감소, Free T4 감소
- 무증상 갑상선 기능 저하증: TSH 상승, Free T4 정상
TFT의 주의사항
- 투약 중인 약물: 갑상선 호르몬제, 항갑상선제, 아미오다론, 에스트로겐 등 일부 약물은 TFT 결과에 영향을 줄 수 있어 주의 깊은 해석이 필요합니다.
- 비갑상선 질환: 급성 질환, 만성 질환, 영양 결핍 등 갑상선 외의 다른 질환들도 TFT 결과에 영향을 줄 수 있습니다.
- 검체 채취 시간: TSH의 일중 변동을 고려하여 아침 공복 시에 채혈하는 것이 좋습니다.
- 임신과 TFT: 임신 중에는 갑상선 호르몬 요구량이 증가하고 호르몬 결합 단백질의 변화로 인해 TFT 결과 해석에 주의가 필요합니다.
TFT는 갑상선 질환의 선별, 진단, 추적 관찰에 있어 가장 기본적이고 중요한 검사입니다. 그러나 검사 결과는 다양한 요인에 의해 영향을 받을 수 있어 주의 깊은 해석이 필요하며, 임상 양상과 함께 종합적으로 판단해야 합니다. 또한, 검사 결과에 따라 추가적인 영상 검사나 조직검사 등이 필요할 수 있습니다. TFT는 갑상선 질환의 관리에 있어 필수적인 도구이며, 적절한 검사 계획과 해석을 통해 환자의 진단과 치료에 큰 도움을 줄 수 있습니다.
기타 관련 의학 용어
- 방사성요오드 갑상선 스캔 (Radioactive Iodine Thyroid Scan): 갑상선에 방사성 동위원소를 주사하여 갑상선의 모양, 크기, 기능 등을 영상화하는 검사입니다.
- 갑상선 초음파 (Thyroid Ultrasonography): 갑상선의 크기, 모양, 결절 유무 등을 초음파를 통해 평가하는 검사입니다.
- 갑상선 세침흡인 검사 (Thyroid Fine Needle Aspiration): 갑상선 결절에서 세포를 채취하여 현미경으로 관찰함으로써 악성 여부를 판단하는 검사입니다.
TPA(조직 플라스미노겐 활성제)

TPA는 “Tissue Plasminogen Activator”의 약자로, 한국어로는 “조직 플라스미노겐 활성제”를 의미합니다. 이는 인체에서 자연적으로 생성되는 효소로, 플라스미노겐을 플라스민으로 전환시켜 혈전을 용해하는 역할을 합니다. TPA는 혈전 용해 치료에 사용되는 대표적인 약물로, 특히 급성 뇌경색, 급성 심근경색 등 혈전으로 인한 응급 상황에서 널리 사용됩니다.
TPA의 작용 기전
- 플라스미노겐 활성화: TPA는 플라스미노겐을 플라스민으로 전환시키는 효소로 작용합니다.
- 혈전 용해: 생성된 플라스민은 피브린 그물을 분해하여 혈전을 용해시킵니다.
- 선택적 작용: TPA는 혈전 부위에 선택적으로 작용하여 전신적인 출혈 위험을 최소화합니다.
TPA의 임상적 적용
- 급성 뇌경색: 증상 발생 4.5시간 이내의 급성 뇌경색 환자에서 정맥 내 TPA 투여는 표준 치료로 인정받고 있습니다.
- 급성 심근경색: 증상 발생 12시간 이내의 급성 ST분절 상승 심근경색 환자에서 TPA 투여를 고려할 수 있습니다.
- 폐색전증: 혈역학적으로 불안정한 급성 폐색전증 환자에서 TPA 투여의 이점이 있을 수 있습니다.
- 말초 동맥 폐쇄: 급성 말초 동맥 폐쇄 환자에서 카테터 유도 혈전 용해술 시 TPA를 사용할 수 있습니다.
TPA 투여의 금기증
- 출혈 위험이 높은 경우: 활동성 내부 출혈, 최근의 두개내 출혈, 심한 조절되지 않는 고혈압 등
- 최근의 수술 또는 외상: 최근 2-4주 이내의 주요 수술이나 심한 외상
- 출혈성 질환: 혈우병, 저섬유소원혈증 등 선천성 또는 후천성 출혈성 질환
- 뇌경색 환자에서 광범위한 뇌경색: 초기 CT상 중뇌동맥 영역의 1/3 이상을 침범한 경우
TPA 투여의 합병증
- 출혈: 가장 심각한 합병증으로, 뇌출혈, 위장관 출혈 등이 발생할 수 있습니다.
- 알레르기 반응: TPA에 대한 과민 반응으로 인해 아나필락시스가 발생할 수 있습니다.
- 재폐색: 일부 환자에서 혈전 용해 후 혈관이 재폐색될 수 있습니다.
- 부정맥: 심근경색 환자에서 TPA 투여 후 부정맥이 발생할 수 있습니다.
TPA는 혈전 질환의 치료에 획기적인 진전을 가져온 약물로, 특히 급성 뇌경색과 급성 심근경색에서 그 효과가 잘 입증되어 있습니다. 그러나 출혈 위험이 높은 환자에서는 사용에 주의를 요하며, 투여 전 철저한 금기증 확인과 적절한 환자 선택이 필요합니다. 또한, 투여 후에는 출혈 등의 합병증에 대한 면밀한 모니터링이 이루어져야 합니다. TPA의 적절한 사용을 위해서는 각 질환별 진료 지침을 숙지하고, 개별 환자의 임상 상황을 종합적으로 고려하여 치료 방침을 결정하는 것이 중요합니다.
FAQ

Q: TTE, TFT, TPA는 각각 어떤 질환이나 상태를 평가하거나 치료하나요?
A: TTE는 심장 판막 질환, 심근 질환, 심부전, 선천성 심장병 등 다양한 심장 질환의 진단과 평가에 사용됩니다. TFT는 갑상선 기능 항진증, 갑상선 기능 저하증, 갑상선 결절 등 갑상선 질환의 진단과 치료 모니터링에 활용됩니다. TPA는 급성 뇌경색, 급성 심근경색, 폐색전증, 말초 동맥 폐쇄 등 혈전으로 인한 응급 상황에서 혈전 용해 치료 목적으로 사용됩니다.
Q: 각 검사 또는 치료의 주의사항이나 합병증은 무엇인가요?
A: TTE는 비침습적이고 안전한 검사이지만, 검사 결과의 질이 음향 창이나 검사자의 숙련도에 영향을 받을 수 있습니다. TFT는 투약 중인 약물, 비갑상선 질환 등에 의해 결과가 영향을 받을 수 있어 주의 깊은 해석이 필요합니다. TPA 투여 시 가장 심각한 합병증은 출혈로, 뇌출혈, 위장관 출혈 등이 발생할 수 있어 출혈 위험이 높은 환자에서는 사용에 주의해야 합니다.
Q: 각 검사 또는 치료법의 정상 소견 또는 예후는 어떠한가요?
A: TTE에서 정상 소견은 심장 크기와 기능이 정상 범위에 속하고, 판막 구조와 혈류가 정상적으로 관찰되는 것입니다. TFT의 정상 범위는 TSH 0.4-4.0 mIU/L, Free T4 0.8-1.9 ng/dL, Free T3 2.0-4.4 pg/mL 등으로, 이를 벗어나면 갑상선 기능 이상을 시사합니다. TPA 투여 후 예후는 증상 발현부터 치료 시작까지의 시간, 혈전의 위치와 크기, 환자의 전신 상태 등에 따라 다양하지만, 적절한 적응증에 신속히 사용될 때 좋은 결과를 기대할 수 있습니다.