의학 용어 RCC, MASS, FNA는 각각 Renal Cell Carcinoma(신세포암), Mass(종괴), Fine Needle Aspiration(미세침흡인)을 나타내는 약어입니다. RCC는 신장에서 발생하는 가장 흔한 악성 종양이며, Mass는 신체에서 만져지는 비정상적인 덩어리를 의미하고, FNA는 Mass의 진단을 위해 가는 바늘로 세포나 조직을 채취하는 방법입니다. 이 글에서는 각 용어의 정의, 특징, 진단 및 치료 방법 등에 대해 알아보고, 이들이 임상에서 어떻게 활용되는지 살펴보겠습니다.
RCC(신세포암)

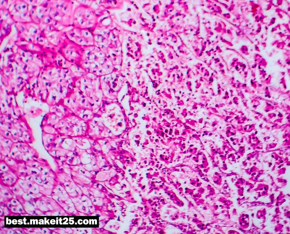
의학 분야에서 RCC는 ‘Renal Cell Carcinoma’의 약자로 가장 널리 사용되는 용어입니다. Renal Cell Carcinoma는 한국어로 ‘신세포암’을 의미하며, 신장에서 발생하는 악성 종양입니다. 신세포암은 신장암의 가장 흔한 유형으로, 성인에서 발생하는 신장암의 약 90%를 차지합니다.
신세포암의 위험 요인
신세포암의 발생에는 다음과 같은 위험 요인이 관여합니다:
- 흡연: 흡연은 신세포암의 가장 중요한 위험 요인 중 하나입니다.
- 비만: 과체중이나 비만인 경우 신세포암 발생 위험이 증가합니다.
- 고혈압: 장기간 고혈압이 있는 경우 신세포암 위험이 높아집니다.
- 유전적 요인: Von Hippel-Lindau (VHL) 증후군 등 일부 유전 질환은 신세포암 발생 위험을 높입니다.
- 만성 신장 질환: 투석을 받는 만성 신부전 환자에서 신세포암 발생률이 높습니다.
신세포암의 증상
신세포암은 초기에는 증상이 없는 경우가 많지만, 진행되면 다음과 같은 증상이 나타날 수 있습니다:
- 혈뇨: 소변에 피가 섞여 나오는 증상으로, 신세포암의 가장 흔한 증상입니다.
- 옆구리 통증: 종양이 커지면서 옆구리나 등에 통증이 발생할 수 있습니다.
- 종괴: 복부에서 만져지는 종괴가 발견될 수 있습니다.
- 전신 증상: 체중 감소, 발열, 피로감 등의 전신 증상이 나타날 수 있습니다.
신세포암의 진단
신세포암의 진단은 다음과 같은 방법으로 이루어집니다:
- 영상 검사: 초음파, CT, MRI 등의 영상 검사를 통해 신장 종양의 존재와 특성을 평가합니다.
- 조직 검사: 영상 검사에서 신세포암이 의심되면 조직 검사를 시행하여 확진합니다.
- 병기 결정: 종양의 크기, 주변 조직 침범 여부, 림프절 및 원격 전이 여부를 평가하여 병기를 결정합니다.
신세포암의 치료
신세포암의 치료는 병기와 환자의 전신 상태에 따라 다음과 같은 방법으로 이루어집니다:
- 수술: 국소 신세포암의 표준 치료로, 종양을 포함한 신장을 절제하는 근치적 신절제술이 시행됩니다.
- 항암 치료: 진행성 또는 전이성 신세포암에서 분자 표적 치료제나 면역 관문 억제제 등의 항암 치료가 사용됩니다.
- 방사선 치료: 뇌 전이나 뼈 전이 등으로 인한 증상 완화 목적으로 방사선 치료가 시행될 수 있습니다.
RCC와 관련된 기타 의학 용어로는 ‘Clear Cell Renal Cell Carcinoma (투명세포신세포암)’이 있습니다. 이는 신세포암의 가장 흔한 조직학적 아형으로, 전체 신세포암의 약 70-80%를 차지합니다. 그 외에 유두상 신세포암, 혐색소성 신세포암 등의 아형이 있지만, RCC라는 용어 자체는 일반적으로 신세포암 전체를 지칭하는 데 사용됩니다.
신세포암은 비교적 흔한 비뇨기계 악성 종양으로, 조기 발견과 적절한 치료가 예후에 큰 영향을 미칩니다. 정기적인 건강 검진과 위험 요인 관리를 통해 신세포암의 예방과 조기 진단에 힘써야 할 것입니다. 또한, 새로운 치료법의 개발과 적용을 통해 진행성 또는 전이성 신세포암 환자의 생존율과 삶의 질을 향상시키기 위한 지속적인 노력이 필요합니다.
MASS(덩어리)

의학 분야에서 MASS는 ‘Mass’의 약자로 사용되는 경우가 많습니다. Mass는 한국어로 ‘덩어리’를 의미하며, 정상 신체 조직과 구분되는 비정상적인 만져지는 덩이를 지칭합니다. 종괴라고도 불리는 Mass는 양성 또는 악성 종양, 염증성 병변, 낭종 등 다양한 병리학적 상태를 나타낼 수 있습니다.
Mass의 특징
Mass는 다음과 같은 특징을 가지고 있습니다:
- 촉진 가능성: Mass는 대부분 신체 검사 시 만져질 수 있는 덩어리로 나타납니다.
- 국소성: Mass는 주변 조직과 구별되는 국소적인 병변입니다.
- 크기와 모양의 다양성: Mass의 크기와 모양은 매우 다양하며, 작은 결절에서부터 큰 종괴까지 다양한 범위를 보입니다.
- 성장 속도: Mass의 성장 속도는 양성 병변에서는 대개 느리고, 악성 종양에서는 상대적으로 빠른 경향이 있습니다.
- 압통 및 가동성: Mass는 압통을 동반하거나 주변 조직과의 유착으로 인해 가동성이 제한될 수 있습니다.
Mass의 진단
Mass의 진단은 다음과 같은 과정으로 이루어집니다:
- 신체 검사: 시진과 촉진을 통해 Mass의 위치, 크기, 성상, 압통 여부, 가동성 등을 평가합니다.
- 영상 검사: 초음파, 유방촬영술(유방 Mass의 경우), CT, MRI 등의 영상 검사를 통해 Mass의 특성과 주변 조직과의 관계를 파악합니다.
- 조직 검사: 세침흡인검사(FNA)나 중심바늘생검(CNB) 등을 통해 Mass의 조직을 채취하여 병리학적 진단을 내립니다.
- 추가 검사: 필요에 따라 PET-CT, 골스캔 등의 추가 검사를 시행하여 Mass의 성격과 전이 여부를 평가합니다.
Mass의 치료
Mass의 치료는 진단에 따라 다양하게 이루어집니다:
- 양성 종양: 크기가 작고 증상이 없는 경우 경과 관찰할 수 있으며, 필요 시 수술적 절제를 시행합니다.
- 악성 종양: 종양의 종류와 병기에 따라 수술, 항암화학요법, 방사선 치료 등을 단독 또는 병합하여 시행합니다.
- 염증성 병변: 원인에 따른 항생제 치료나 염증 조절 치료를 시행합니다.
- 낭종: 크기가 크거나 증상이 있는 경우 흡인 또는 수술적 절제를 고려합니다.
MASS와 관련된 기타 의학 용어로는 ‘Tumor (종양)’, ‘Neoplasm (신생물)’, ‘Lesion (병변)‘ 등이 있습니다. 이들은 Mass와 유사한 개념으로 사용되기도 하지만, Mass는 주로 신체 검사에서 촉진되는 비정상적인 덩어리를 지칭하는 데 사용되는 반면, 종양이나 신생물은 조직학적 관점에서의 비정상적인 세포 증식을 의미하는 경우가 많습니다.
Mass는 다양한 원인에 의해 발생할 수 있으며, 적절한 진단과 치료가 이루어지지 않으면 심각한 건강 문제로 이어질 수 있습니다. 따라서 Mass가 발견되면 신속한 의학적 평가와 필요한 검사를 받는 것이 중요합니다. 또한, 정기적인 건강 검진을 통해 Mass를 조기에 발견하고 적절히 대처할 수 있도록 해야 할 것입니다.
FNA(미세침흡인)

의학 분야에서 FNA는 ‘Fine Needle Aspiration’의 약자로 가장 널리 사용되는 용어입니다. Fine Needle Aspiration은 한국어로 ‘미세침흡인’을 의미하며, 가는 바늘을 사용하여 의심되는 병변이나 종괴에서 세포나 조직을 채취하는 진단 방법입니다. 이 검사법은 덩어리의 양성 또는 악성 여부를 판단하고, 적절한 치료 방향을 결정하는 데 도움이 됩니다.
미세침흡인의 적응증
미세침흡인은 다음과 같은 상황에서 시행될 수 있습니다:
- 갑상선 결절: 갑상선에 만져지는 결절이 있는 경우, 미세침흡인을 통해 결절의 성격을 평가합니다.
- 유방 종괴: 유방에서 만져지거나 영상 검사에서 발견된 종괴에 대해 미세침흡인을 시행할 수 있습니다.
- 림프절 비대: 림프절 비대가 있는 경우, 미세침흡인을 통해 림프종이나 전이성 암의 가능성을 평가합니다.
- 기타 종괴: 목, 피부, 타액선 등 신체 다른 부위에 발생한 종괴에 대해서도 미세침흡인을 고려할 수 있습니다.
미세침흡인의 시술 과정
미세침흡인은 다음과 같은 과정으로 진행됩니다:
- 국소 마취: 필요한 경우 시술 부위에 국소 마취제를 주사합니다.
- 바늘 삽입: 초음파 유도 하에 가는 바늘을 종괴에 삽입합니다.
- 세포 흡인: 바늘을 전후로 움직이면서 음압을 가하여 세포나 조직을 흡인합니다.
- 검체 준비: 흡인한 세포나 조직을 슬라이드에 도말하고 고정합니다.
- 병리 검사: 채취한 검체를 병리과로 보내 현미경으로 관찰하고 진단합니다.
미세침흡인의 장점과 합병증
미세침흡인은 다음과 같은 장점을 가지고 있습니다:
- 최소 침습성: 미세침흡인은 피부에 작은 구멍만 내는 최소 침습 시술로, 절개나 봉합이 필요하지 않습니다.
- 안전성: 미세침흡인은 전신 마취가 필요하지 않고, 심각한 합병증의 위험이 낮습니다.
- 경제성: 수술적 생검에 비해 비용이 적게 들고, 외래에서 시행 가능합니다.
다만 미세침흡인 후에는 다음과 같은 합병증이 발생할 수 있습니다:
- 출혈: 시술 부위에 작은 혈종이나 출혈이 발생할 수 있습니다.
- 감염: 시술 후 감염이 발생하는 경우는 매우 드뭅니다.
- 검체 부족: 때때로 채취한 세포나 조직의 양이 부족하여 진단이 어려울 수 있습니다.
FNA와 관련된 기타 의학 용어로는 ‘Core Needle Biopsy (중심바늘생검)’이 있습니다. 이는 미세침흡인보다 굵은 바늘을 사용하여 조직을 채취하는 방법으로, 조직 구조를 보존할 수 있어 병리학적 진단에 도움이 됩니다.
미세침흡인은 다양한 장기의 종괴에 대한 진단에 널리 사용되는 안전하고 효과적인 방법입니다. 이 검사를 통해 불필요한 수술을 줄이고, 신속한 진단과 치료 방향 결정이 가능해집니다. 그러나 미세침흡인의 결과 해석에는 숙련된 병리의사의 전문성이 필요하며, 일부 경우에는 결과가 불확실할 수 있어 추가 검사가 필요할 수 있습니다. 이러한 점을 고려하여 미세침흡인을 적절히 활용한다면, 환자의 진단과 치료에 큰 도움이 될 것입니다.
FAQ

Q: RCC, MASS, FNA의 정의와 특징은 무엇인가요?
A: RCC는 신장에서 발생하는 악성 종양으로, 성인 신장암의 약 90%를 차지합니다. 흡연, 비만, 고혈압 등이 위험 요인으로 알려져 있습니다. Mass는 신체 검사에서 만져지는 비정상적인 덩어리로, 양성 또는 악성 종양, 염증성 병변 등 다양한 병리학적 상태를 나타냅니다. FNA는 Mass의 진단을 위해 가는 바늘을 사용하여 세포나 조직을 채취하는 최소 침습적 시술입니다.
Q: RCC, MASS, FNA의 진단 방법에는 어떤 것이 있나요?
A: RCC의 진단은 영상 검사(초음파, CT, MRI 등)와 조직 검사를 통해 이루어집니다. 영상 검사에서 신장 종양이 의심되면 조직 검사를 시행하여 확진합니다. Mass의 진단을 위해서는 신체 검사, 영상 검사, 조직 검사 등이 단계적으로 시행됩니다. FNA는 Mass에서 세포나 조직을 채취하는 대표적인 조직 검사 방법으로, 초음파 유도 하에 시행되며 채취한 검체는 병리과에서 현미경으로 관찰하여 진단합니다.
Q: RCC, MASS, FNA의 치료 방법은 어떤 것이 있나요?
A: RCC의 치료는 병기와 환자의 전신 상태에 따라 수술, 항암 치료, 방사선 치료 등이 시행됩니다. 국소 RCC에서는 근치적 신절제술이 표준 치료이며, 진행성 또는 전이성 RCC에서는 분자 표적 치료제나 면역 관문 억제제 등의 항암 치료가 사용됩니다. Mass의 치료는 양성 종양에서는 경과 관찰 또는 수술적 절제를, 악성 종양에서는 수술, 항암 치료, 방사선 치료 등을 병합하여 시행합니다. FNA 자체는 진단 목적의 시술이며, FNA 결과에 따라 추가 검사나 치료 방침이 결정됩니다.