의학 용어 BG, CR, BMD는 각각 기저핵, 완전관해 및 심장재활, 그리고 골밀도를 의미합니다. 이들은 뇌의 기능, 암 치료의 반응, 심장 건강의 회복, 그리고 뼈의 건강 상태를 나타내는 중요한 지표들입니다. 이러한 용어들은 의료 전문가들이 환자의 상태를 평가하고 적절한 치료 계획을 세우는 데 필수적인 역할을 합니다.
BG

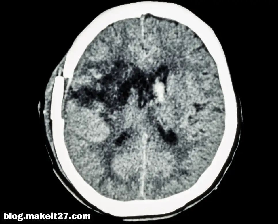
의학 용어 ‘BG’는 ‘Basal Ganglia’의 약어로, 한국어로는 ‘기저핵’이라고 합니다. 기저핵은 대뇌 변연계에 속하는 중요한 신경 구조물로, 뇌의 깊은 부분에 위치하고 있습니다. 이 구조는 운동 조절, 습관 형성, 감정, 인지 등 다양한 뇌 기능을 담당하는데 중요한 역할을 합니다.
기저핵의 기능과 중요성
기저핵은 우리 몸의 움직임을 조절하는 데 필수적인 부분입니다. 특히, 복잡한 운동 패턴과 관련된 학습, 자동적인 운동 습관 형성에 관여합니다. 예를 들어, 걷기나 타이핑과 같은 자동화된 활동은 기저핵의 조절 하에 이루어집니다.
또한, 기저핵은 보상과 강화 작용에도 관여하여, 우리가 어떤 행동을 반복하게 만드는 동기 부여 역할을 합니다. 이는 학습과 기억 형성에도 중요한 영향을 미칩니다.
기저핵의 손상과 질병
기저핵의 손상이나 기능 이상은 다양한 신경학적 질환을 초래할 수 있습니다. 예를 들어, 파킨슨병은 기저핵의 도파민 생성 세포가 손상되어 발생하는 대표적인 질환입니다. 이로 인해 환자는 떨림, 근육의 경직, 움직임의 느려짐 등의 증상을 겪게 됩니다.
또한, 헌팅턴병과 같은 유전적 장애도 기저핵의 손상과 관련이 있으며, 이는 운동 조절 능력의 상실과 인지 기능 저하를 가져옵니다.
기저핵과 관련된 의학 용어
기저핵과 관련된 의학 용어로는 ‘BG infarction’이 있습니다. 이는 기저핵에 혈액 공급을 담당하는 혈관이 막혀 발생하는 뇌경색을 의미합니다. 이러한 상태는 운동 능력과 인지 기능에 영향을 미칠 수 있으며, 다양한 증상을 유발할 수 있습니다.
기저핵의 손상으로 인해 나타날 수 있는 증상들은 다음과 같습니다:
- 감각 저하 또는 근육 약화
- 인지 기능의 저하
- 균형 잡기와 걷기의 어려움
- 삼킴 곤란
- 성격 변화
- 근육의 강직 또는 움직임의 제한
- 시력 손상
이러한 증상들은 손상의 범위와 정도, 침범하는 부위에 따라 다르게 나타날 수 있습니다. 때문에 정확한 진단과 적절한 치료가 필요합니다.
기저핵은 뇌의 복잡한 기능을 수행하는 데 있어 핵심적인 역할을 하는 구조물입니다. 그것의 정상적인 기능은 우리의 일상 생활과 밀접한 관련이 있으며, 그 손상은 다양한 신경학적 문제를 일으킬 수 있습니다. 따라서 기저핵의 건강을 유지하는 것은 전반적인 뇌 건강을 위해 매우 중요합니다.
CR

의학 용어 ‘CR’은 다양한 의미를 가지고 있으며, 그 중에서도 특히 세 가지 의미가 자주 사용됩니다. 한국어로는 ‘완전관해’, ‘심장재활’, 그리고 ‘크레아티닌’으로 번역될 수 있습니다. 이 용어들은 각각 다른 의학적 상황과 관련이 있으며, 환자의 진단, 치료, 그리고 회복 과정에서 중요한 역할을 합니다.
완전관해 (Complete Remission)
완전관해는 암 치료 과정에서 사용되는 용어로, 암세포가 검출되지 않는 상태를 의미합니다. 이는 항암 치료 후 암이 완전히 호전되어, 현재 사용 가능한 검사 방법으로는 암세포를 찾을 수 없는 상태를 말합니다. 완전관해는 암 치료의 최종 목표 중 하나로, 환자에게 희망을 주는 중요한 지표입니다.
심장재활 (Cardiac Rehabilitation)
심장재활은 심근경색이나 심장 수술 후 환자의 심장 기능을 회복시키기 위한 포괄적인 프로그램입니다. 이 프로그램은 운동 요법, 식이 조절, 스트레스 관리 등을 포함하여 환자의 전반적인 건강을 개선하고, 심장 질환의 재발을 예방하는 데 목적이 있습니다.
크레아티닌 (Creatinine)
크레아티닌은 근육 대사의 부산물로, 신장 기능의 지표로 사용됩니다. 혈중 크레아티닌 수치는 신장의 여과 능력을 반영하며, 이 수치가 높아지면 신장 기능 저하를 의심할 수 있습니다. 정상적인 크레아티닌 수치는 사람마다 다를 수 있으며, 여러 요인에 의해 영향을 받을 수 있습니다.
이러한 의학 용어들은 각각의 분야에서 환자의 상태를 평가하고 치료 계획을 세우는 데 필수적인 역할을 합니다. 완전관해는 암 치료의 성공을, 심장재활은 심장 질환 후의 회복을, 그리고 크레아티닌은 신장 기능의 상태를 나타내는 중요한 지표로 사용됩니다. 이러한 용어들의 정확한 이해는 의료 전문가뿐만 아니라 환자와 그 가족에게도 중요한 정보를 제공합니다.
BMD

의학 용어 ‘BMD’는 ‘Bone Mineral Density’의 약어로, 한국어로는 ‘골밀도’라고 합니다. 골밀도는 뼈의 무기질 함량을 나타내는 지표로, 뼈의 건강 상태를 평가하는 데 사용됩니다. 이 검사는 특히 골다공증의 진단과 치료 평가에 중요한 역할을 합니다.
골밀도의 중요성
골밀도는 뼈의 강도와 직접적인 관련이 있으며, 낮은 골밀도는 뼈가 약해져 있음을 의미합니다. 이는 골절 위험을 증가시키며, 특히 고령자나 폐경기 여성에게서 더욱 중요한 지표가 됩니다.
골밀도 검사 방법
골밀도 검사는 주로 이중에너지 X선 흡수계측법(DXA)을 사용하여 실시합니다. 이 방법은 두 가지 다른 에너지의 X선을 사용하여 뼈를 통과시키고, 뼈에 흡수된 X선의 양을 측정함으로써 골밀도를 평가합니다.
골밀도 결과 해석
골밀도 검사 결과는 T-score와 Z-score로 나타납니다. T-score는 젊은 정상인 집단의 평균 골밀도와 비교한 값이며, Z-score는 동일한 연령, 성별의 평균 골밀도와 비교한 값입니다. T-score가 -1 이상이면 정상 범위로 간주되며, -1에서 -2.5 사이는 골감소증, -2.5 이하는 골다공증으로 분류됩니다.
골밀도와 관련된 질환
낮은 골밀도는 골다공증과 같은 질환의 위험을 나타냅니다. 골다공증은 뼈의 밀도와 질이 감소하여 뼈가 약해지고 쉽게 부러지는 질환입니다. 이는 특히 노년층에서 흔히 발생하며, 적절한 치료와 관리가 필요합니다.
골밀도 관리
골밀도를 유지하고 개선하기 위해서는 적절한 영양 섭취, 규칙적인 운동, 그리고 필요한 경우 약물 치료가 포함됩니다. 칼슘과 비타민 D의 섭취는 뼈 건강에 중요하며, 체중 부하 운동은 뼈를 강화하는 데 도움이 됩니다.
골밀도는 뼈의 건강을 나타내는 중요한 지표로, 정기적인 검사를 통해 개인의 골밀도 상태를 모니터링하고 필요한 조치를 취하는 것이 중요합니다. 이를 통해 골다공증과 같은 질환의 예방 및 관리가 가능해집니다.
FAQ

Q: 기저핵(BG)이란 무엇이며, 왜 중요한가요?
A: 기저핵은 뇌의 깊은 부분에 위치한 신경 구조물로, 운동 조절, 습관 형성, 감정 및 인지 기능에 중요합니다. 이 구조의 손상은 파킨슨병과 같은 신경학적 질환을 유발할 수 있습니다.
Q: 완전관해(CR)의 의미는 무엇인가요?
A: 완전관해는 암 치료에서 사용되는 용어로, 현재 사용 가능한 검사 방법으로는 암세포를 찾을 수 없는 상태를 말합니다. 이는 치료의 성공을 나타내는 중요한 지표입니다.
Q: 골밀도(BMD) 검사의 목적은 무엇인가요?
A: 골밀도 검사는 뼈의 무기질 함량을 측정하여 골다공증과 같은 질환의 진단 및 치료 평가에 사용됩니다. 낮은 골밀도는 뼈가 약해져 있음을 의미하며, 골절 위험을 증가시킵니다.